A saúde dos dentes é primordial para que possamos viver bem, ainda que muitas pessoas considerem esses problemas menores ou que não afetam tanto a saúde. Mas apesar disso, problemas como a doença periodontal, por exemplo, podem causar danos sérios à nossa saúde e nos impedir de viver uma vida plena. Uma das formas de se livrar dela é a famosa cirurgia periodontal. Mas quando ela é realmente necessária? Para falarmos sobre o assunto, primeiro é necessário esclarecermos o que é a doença e como ela surge em nossos dentes. Portanto, confira o texto e descubra mais sobre essa condição tão comum e complicada.

O que é a Doença Periodontal?

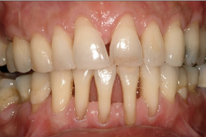
Também conhecida como periodontite, a doença periodontal é uma doença causada por infecções ou inflamações no periodonto, região da boca em que estão os ligamentos, ossos e tecidos que sustentam nossos dentes. Em fases avançadas, a doença pode ser bastante prejudicial, causando a destruição dos tais tecidos e, consequentemente, fazendo-os cair. É muito comum que se designe o termo gengivite para se referir a esse tipo de problema, embora ele só represente uma das fases da doença. Pode-se considerar, portanto, a doença em si como uma evolução da gengivite.

A falta de higiene bucal é, sem dúvidas, a principal causa da periodontite. Por isso, a melhor forma de lidar com esse problema é sempre o prevenindo. Trata-se de uma das principais causas de perda de dentes e uma das doenças mais comuns em seres humanos. Ainda assim, muitas pessoas não conhecem exatamente os tratamentos e não têm ideia de como a cirurgia é feita.

O que é a Cirurgia Periodontal?

A cirurgia periodontal nada mais é do que a forma mais agressiva de tratar a periodontite, ou seja, quando a doença já se encontra em um estado crítico. Vale ressaltar que a doença periodontal pode também ser crônica, mas mesmo assim a cirurgia pode ser exigida para que o problema seja resolvido. Apesar de ser um procedimento agressivo e soar assustador para muitos, a cirurgia é feita de forma relativamente simples, embora tomar certos cuidados no pós-operatório seja necessário.

É importante ressaltar que essa forma de tratamento é um último recurso, ou seja, é utilizada quando todos os outros tipos de tratamentos, como os com flúor, raspagem e higienização bucal, não conseguem mais reverter a situação. Em alguns casos, um dentista também receitará medicamentos para ajudar a combater a doença. Caso isso ocorra, é importante que você faça o uso deles de forma responsável, ou seja, seguindo à risca as recomendações. Caso a doença volte, o recomendado é que você procure o dentista mais uma vez e nunca tome remédios por conta própria. Eles podem não ter o efeito desejado por você e acabar gerando outros que podem piorar sua situação.

dentição definitiva

Como é feita a Cirurgia?

A cirurgia mais comum usada no tratamento da periodontite é a que chamamos de retalho gengival. Ela consiste basicamente em cortar o tecido gengival, para separar os dentes e facilitar a limpeza, que nesse caso é feita com aparelho ultrassônico. Além disso, a cirurgia também facilita a remoção manual de placas bacterianas e tártaros mais profundos.

Além dessa primeira fase, uma dentista pode optar por realizar ainda mais duas fases da cirurgia, que normalmente são feitos para evitar uma reinfecção e também por uma questão estética. Na fase que chamamos de regeneração, o dentista insere excertos de ossos e proteínas que estimularão a reconstrução dos tecidos que foram cortados na primeira fase da cirurgia.

Já a terceira fase, chamada de excerto de tecido mole, um dentista insere tecidos de outras partes da boca para dar um aspecto mais apresentável à gengiva e à boca como um todo, já que ele pode ser bastante alterado após a cirurgia. Essa terceira fase nem sempre é feita e sempre depende de uma conversa entre paciente e dentista para saber se ela é realmente necessária ou não.

Existem Riscos?

A cirurgia periodontal é bastante segura, o que significa que os riscos que ela implica são mínimos ou quase inexistentes. O maior risco, na verdade, ocorre quando uma pessoa possui a periodontite e não a trata ou deixa de fazer a cirurgia, já que isso pode implicar em um extremo desconforto bucal, além da perda dos dentes.

A Doença pode voltar após a Cirurgia?

Os efeitos de uma cirurgia periodontal são normalmente muito positivos, o que significa que ela normalmente elimina a doença tranquilamente. Ainda assim, é importante tomar os cuidados indicados para o pós-operatório, pois outras complicações, como infecções, podem surgir durante esse tempo.

É claro que, se uma pessoa continuar a não ter bons hábitos de higiene bucal, a doença poderá voltar da mesma forma. Inclusive, quando uma pessoa possui a periodontite crônica, as chances de ela evoluir para uma forma mais agressiva da doença aumentar conforme o tempo passa e os devidos cuidados não são tomados. Por isso, a melhor solução é sempre a prevenção.

Como Prevenir a Doença Periodontal?

Prevenir a doença periodontal é muito simples, basta adquirir bons hábitos de higiene bucal, como escovar os dentes várias vezes ao dia e passar o fio dental. Além disso, é importante visitar um dentista regularmente (no mínimo uma vez a cada 6 meses) para que você faça uma checagem e consiga combater qualquer tipo de problema que surgir ainda no início. Tudo isso faz com que você consiga evitar que a periodontite chegue até você.

Realizar esse tipo de procedimento cirúrgico pode exigir muito de você, tanto no que diz respeito ao tempo, já que você precisa mudar seus hábitos de vida tanto para se preparar quanto no período pós-operatório, quanto na saúde e também financeiramente. Por isso, a nossa principal recomendação aqui é que você siga à risca todas as recomendações para evitar ter a doença e, assim, evitar tratamentos mais agressivos como a cirurgia periodontal. Lembre-se: cuidar da própria higiene bucal é também cuidar da própria saúde. E evitar que você tenha problemas como a doença periodontal é essencial para manter também o seu bem-estar.