Problemas nos dentes nos afetam de diversas maneiras. Além de poderem afetar diretamente a nossa saúde e o nosso modo de viver, muitas pessoas são literalmente obcecadas por manter um sorriso branco. E quando manchas indesejadas aparecem, é possível que haja dúvidas e preocupações. Muitas vezes, manchas nos dentes podem ser sinal de que existe fluorose. Mas o que é essa condição e por que ela deixa tais manchas? Se você possui essas dúvidas, leia o texto até o fim e descubra tudo o que precisa saber sobre a fluorose.

O que é Fluorose?

Também conhecida por fluorose dental, essa é uma condição caracterizada pelo excesso de flúor nos dentes. O flúor é um elemento químico que costuma ser extremamente bem-vindo na luta contra as cáries e para manter seus dentes mais limpos e bonitos. Porém, é possível que haja excessos, o que acaba fazendo com que a fluorose se desenvolva.

A fluorose pode afetar qualquer pessoa, mas é especialmente delicada quando falamos de crianças, o que causa a chamada fluorose infantil. Isso ocorre porque crianças possuem dentes mais frágeis e com menos esmalte, o que faz com que o efeito do flúor seja maior nelas.

Sintomas da Fluorose

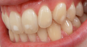
Identificar a fluorose não é uma tarefa muito difícil, uma vez que a doença possuí algumas características bastante específicas, como:

  • Pequenos pontos brancos ou pretos nos dentes
  • Manchas em diversos dentes
  • Surgimento de linhas nos dentes
  • Pequenos furos nos dentes

Se você tiver algum desses sintomas ou identifica-los em seu filho, é importante visitar uma dentista o mais rápido possível para iniciar um tratamento e evitar que a fluorose possa piorar ainda mais a aparência dos dentes.

dente bonito

Causas da Fluorose

Já dissemos aqui que a fluorose dental e causado pelo excesso de flúor nos dentes, o que acaba desgastando o esmalte e faz com que eles fiquem cada vez mais frágeis e sujeitos a manchas, furos ou mesmo desgaste. Mas como esse excesso de flúor se dá? Bom, isso pode ocorrer de diversas maneiras, como:

  • Ingestão de determinados medicamentos
  • Consumo excessivo de produtos industrializados
  • Escovação em excesso com pasta de dente com muito flúor
  • Consumo em excesso de água fluoretada

É especialmente importante prestar atenção no tipo de alimento ou medicamento que uma criança ingere, uma vez que elas possuem dentes mais frágeis e, por consequência, mais propensos a ter a fluorose.

Como tratar a Fluorose?

A fluorose é uma condição que não tende a desparecer, mesmo que uma criança fique mais velha e anos se passem. Porém, é possível controlar a doença de maneira relativamente fácil para que uma pessoa possa ter uma vida completamente normal mesmo com a fluorose.

Existem diversos tipos de tratamento para essa condição e o tipo certo para cada caso vai depender de diversos fatores, como:

  • A gravidade da fluorose
  • A idade do paciente
  • O número de dentes afetados pela fluorose

A microabrasão é um dos tratamentos mais utilizados para a fluorose. Esse processo consiste, basicamente, em desgastar apenas superficialmente os dentes para que a região manchada seja retirada. Trata-se de um método pouco invasivo e que costuma resultar muito bem. Um dos efeitos colaterais desse tipo de tratamento é o branqueamento dos dentes, o que acaba sendo positivo, principalmente quando falamos na questão estética.

Se a fluorose for mais séria, é possível que uma dentista adote métodos mais invasivos, como a colocação de facetas de porcelana ou mesmo de coroas dentárias, dependendo do caso, é claro.

Vale ressaltar que, em casos mais leves e em que os sintomas praticamente não são perceptíveis, um tratamento pode não ser necessário, ainda que um paciente possa querer o fazer por questões estéticas.

Prevenção da Fluorose

A regra geral para que se evite o surgimento da fluorose é a adoção de bons hábitos de higiene bucal, principalmente nas crianças. Isso não significa simplesmente escovar muito bem os dentes após toda as refeições, ao acordar e antes de dormir e o uso do fio dental, mas também o uso de pastas adequadas para sua idade. Dessa maneira, ela não recebe uma quantidade muito maior de flúor e evita complicações.

Além disso, é importante também ter atenção nos alimentos que são ingeridos e nos medicamentos que são tomados. É claro que, em casos em que medicamentos são extremamente necessários, é também importante conversar com sua dentista para que você já comece a tomar medidas para evitar que a fluorose dental te afete muito.

Todos nós gostamos de ter um sorriso bonito e de ter dentes com boa aparência. Mas problemas como a fluorose muitas vezes são inevitáveis e é precisa saber lidar com eles para que consequências ainda piores não surjam. É importante, sobretudo, prestar atenção nos hábitos de higiene bucal das crianças, já que elas estão propensas a desenvolverem a fluorose com mais facilidade e podem carregar esse problema por muitos anos em sua vida. Problemas como esse podem até podem ser evitados com atitudes simples, mas é necessário estar em alerta o tempo todo e, principalmente, estar ciente dos perigos que existem quando o assunto é a nossa dentição.